임플란트 두 개 심고 틀니 만들기

타병원에서 만든 아래턱의 틀니가 너무 불편하셔서 오셨습니다.

임플란트를 심었슴에도 불구하고 관리도 안되고 연결장치가 너무 자주 망가져서 편하게  쓰시기가 어려운 상태였습니다.

인상채득을 하고 앞쪽만 틀니를 제거하더라도 이가 있게 만들기로 하였습니다.

구강내에 앞쪽 보철물을 끼고 어금니만 틀니로 제작하였습니다.

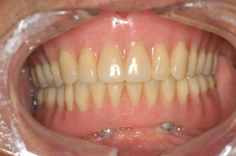
두개의 임플란트를 사용한 부분틀니입니다.

고리가 보이지만 기존 틀니에 비해 훨씬 안정감이 생겨 저작효율이 높아졌으며 기존틀니의 연결장치가 자주 망가졌던 단점을 완벽히 해결하였습니다.

제작해드린 이후로 환자분을 10년동안 못뵈었네요 ㅠ ㅠ. 잘만들어드려도 꾸준히 병원에 체크받으러 오셔야 합니다.

Previous
Previous

작년에 이어 KDX 2019를 무사히 마쳤습니다.

Next
Next

기형치(Mesiodens)를 수복한 증례입니다.